当前位置: 首页>【医疗信息】注水挤肠求蹊径 如履薄冰穿脓肿
近日,患者王女士因阑尾炎术后一周,持续发热、腹痛难耐,来到徐州市中医院寻求进一步治疗。
中下腹CT扫描后,影像科严金明主任仔细阅片并了解相关病史后,考虑为阑尾区脓肿。随后,严主任及时与胃肠外科取得联系,经过讨论,决定行CT引导下腹部脓肿引流术。


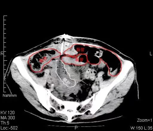
影像科穿刺团队郝申、张勇猛医师阅片后发现,此处脓肿位于盆腔深部,前方肠管横跨,几乎无进针路径;后方及侧方髂骨及骶骨遮挡,无法进针。

严金明主任指示可利用肠管蠕动,寻找通路。

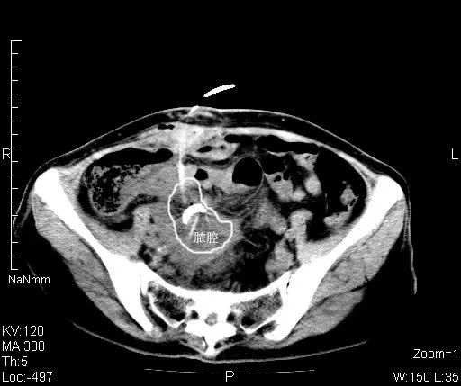
遂选择同轴活检针,将内芯抽出,只用无尖锐的钝头缓慢进针并注射生理盐水,试图冲开前方肠管,寻觅间隙,打开通道。最终成功置入导管,引流出黄褐色脓液,引流通畅,患者安全返回病房。
术后一周患者各项指标趋于正常,顺利出院。
腹盆腔脓肿属于复杂性腹盆腔感染,腹盆腔脏器感染、胃肠道穿孔、外伤、腹盆腔手术等是其诱发重要因素,临床症状常表现为腹痛、发热,甚至有严重的感染中毒症状,病情危重,死亡率高。CT引导下穿刺引流治疗腹盆腔脓肿是一种创伤小、疗效好且安全的方法。
腹壁下的脓肿穿刺引流相对容易,但腹腔深部脓肿穿刺引流相对难度较大,一度被认为是个禁区:腹腔肠管前后左右相互遮挡,将脓腔团团包围,几乎无进针路径,因此患者不得不选择外科手术切开引流。此技术巧妙地利用了肠道蠕动的生理机制,另辟蹊径,从而找到引流通道。此方法见效快,效果显著,创伤小,失血量少,术后恢复快、费用低廉。还可以根据引流出的脓液做菌培+药敏实验,短期内使患者体温及白细胞计数趋于正常,缩短病程,提升周转率。更是有效避免二次手术,降低医疗纠纷的可能性,更容易让患者及其家属所接受。
此方法尤其适用于病程迁延、重危与手术风险大的患者。脓肿引流后可明显缓解中毒症状,改善脏器功能,大部分患者可就此治愈,部分患者病情明显缓解,腹腔炎症局限或消退,明显降低了再手术的难度。
目前,影像科团队已获得穿刺相关的4项国家实用新型专利,并将进一步对诊断、技术等工作精益求精,竭诚为患者提供更全面的治疗保障。