当前位置: 首页>医疗动态
为了提高公众对疝气的认识,加强疝气的预防和早期治疗意识,3月7日,徐州市中医院在门诊大楼前成功举办了疝气日义诊活动。 本次活动由中国疝病专科联盟牵...
好的睡眠,从良好的睡眠卫生开始…… 睡眠是人类必须进行的一种生理活动,它有助于我们恢复体力、维持心理健康,甚至影响我们的情绪和认知功能。然而,很多人并...
在徐州市肛肠病诊疗中心的诊室内,一面崭新鲜艳的锦旗显得格外引人注目。这是李女士为了感谢徐州市肛肠病诊疗中心内镜室王进主任中医师而特意送来的。不久前,王进医生凭借...
徐州市中医院近年来先后开展了十余个临床多学科联合()群,立足中西融合,充分发挥中医药特色优势,以患者为中心,适应现代医疗模式发展趋势,向患者提供综合、全面、全程...
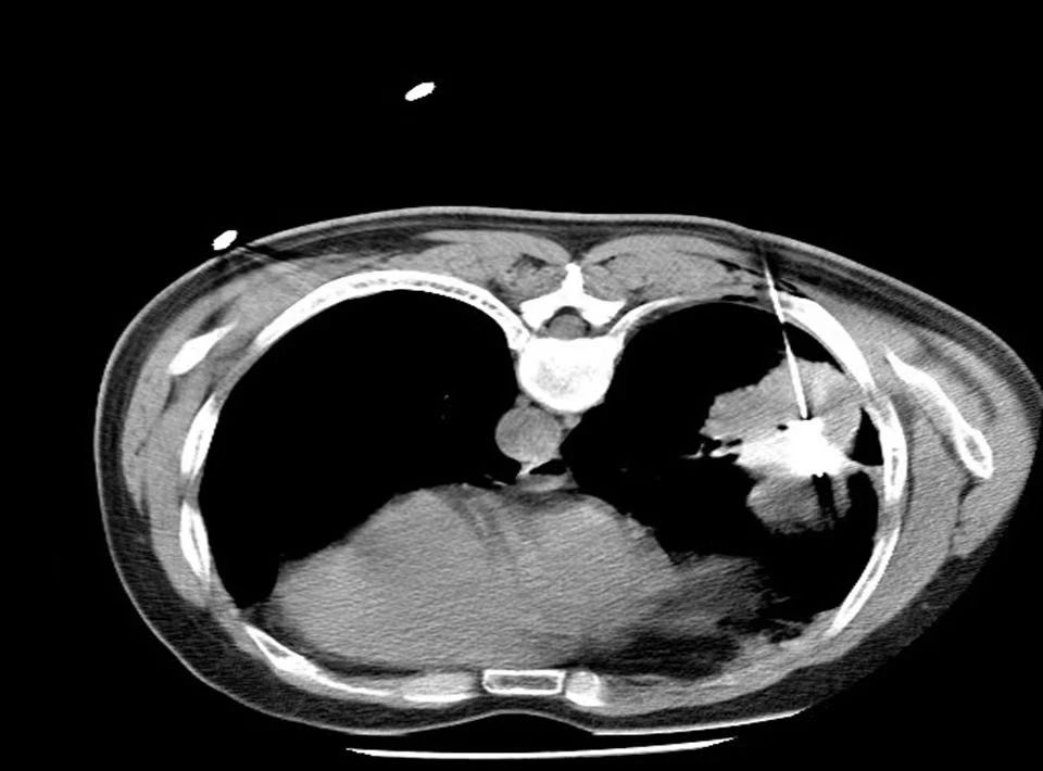
微波消融手术病例 患者张大爷,85岁,肺占位性病变(左下肺)约1.1cm,伴有心脏病、高血压,一年前体检时无意中发现左下肺有一约3mm大小磨玻璃结节...
说到肛肠科疾病,多数人第一时间想到的是便秘、痔疮、肛裂…认为肛肠科无大病?那是因为你还不了解,这种疾病有多凶险! 患者朱某,在新疆就餐饮酒后,出现肛...
心律失常是临床中特别常见的病症。在日常门诊和病房的工作中,经常听到病人主诉,说自己感到心悸、心慌。简单说,就是患者主观感受到自己心前区有不适感。 从中...
徐州市中医院作为全市中医疑难危重救治中心,始终高度重视急救能力提升,不断优化急救流程,不断缩短急救时间。近日,为全面提升医疗技术水平,强化医务人员急救意识和应急...
近日,徐州市中医院普外科成功治愈两位女性巨结肠患者(18岁和45岁),她们因大便停滞、腹胀难忍,经历多年及多地医院治疗无果,最终在徐州市中医院普外科专家的精准治...
老前辈说“十男九痔、十女十痔”,痔是非常高发的肛管疾病,“痔疮”虽然是一个小病,但是发作起来不甚其扰。内痔的三大危害: 1.便血、贫血:早期症状轻微...
间质性肺疾病是一组弥漫性肺病的总称,包括200余种疾病。间质性肺疾病近年来发病率逐渐升高,其病因复杂,诊断困难,预后差,严重危害百姓健康。间质性肺疾病常常因临床...
人的一生中,约三分之一的时间是在睡眠中度过,睡眠作为一种重要的生理需求,已成为大家广泛关注的健康问题。据了解,随着生活节奏的加快,不少人患上睡眠障碍疾病,尤其对...
俗话说得好:一“胖”毁所有,一“瘦”解千愁!减肥只是为了美吗?答案是“不”!肥胖会给我们的身体、生活带来诸多不便和危害。周围许多朋友经常感叹身上这一身膘该怎么减...
为什么我们家人都不矮,孩子却长不高?我国有30%的孩子长不到遗传身高,父母高,孩子不一定高! 身材矮小容易受到嘲笑、被欺负、被排挤,多数矮小患儿有不同...
32岁的杨某,反复痔疮脱出伴随便血一月都未重视,直到家人察觉到他脸色不好看,才到医院就诊。门诊检查血常规提示血红蛋白56g/,已经到了重度贫血的程度。 ...
高龄患者,突发疝病难题患者是一位年过古稀的高龄男性,右侧腹股沟疝病史5年有余。由于脑梗塞后留下的右侧肢体偏瘫,以及严重驼背造成心肺功能下降,加之脑萎缩、高血压、...
为进一步推进徐州市中医院泌尿外科高质量发展,提高科室在徐州地区的影响力,在医院领导的大力支持下,泌尿外科率先引入了徐州第一台高端治疗设备——自由星超脉冲光纤铥激...
丁先生(化姓)是徐州市中医院血液透析中心的一位长期透析患者。因病情发展需要,丁先生于21年7月建立了自体动静脉内瘘。丁先生在透析中心保持每周三次的血液透析治疗,...
多学科联合门诊多科室联动服务患者到处求医问药,辗转多家医院,跑断腿仍诊断不明确;身患多种疾病,无法获取全面的系统诊疗方案,治疗效果甚微;医院门诊,单科不足以解决...
徐州市中医院脊柱侧弯专病团队由徐州市中医院推拿科与徐州市中医院康复医学科的业务骨干跨学科组建而成。团队共有医务人员10人,其中主任医师1人,副主任医师1人,主治...