当前位置: 首页>中药美肤┃变白变美变漂亮!收好这份芳草里的美肤秘籍~
春季万物复苏,草木发芽,大家忍不住跑到户外拥抱春天,感受万物生长、草木萌发。但是紫外线、树粉花粉以及微生物等也使颜面部皮肤病逐渐呈高发趋势。
皮肤病尤其注重外治疗法,正所谓“外科之法,最重外治”。诸多典籍也记载了大量的治疗皮肤病或者美容的方剂,如《太平圣惠方》、《圣济总录》里面便有近百首类似方剂。
接下来我们就一起来探讨中草药在一些颜面部皮肤病的美肤秘籍吧。
1、七白散
又名七子白,七白子,七白粉,是古代宫廷的养颜秘方。最早收录于宋代的《太平圣惠方》,在元代的《御药院方》中也有记载。
由中药白蔹、白及、白芍、白僵蚕、白术、白茯苓、白蒺藜组成,具有美白嫩肤,养血柔肝之效,长期使用可淡化面部黯斑和色素沉着,使肌肤胜雪,美艳动人。
如果你有黄褐斑、雀斑、面部发黄、发暗、痤疮后色素沉着、晒黑等问题困扰都可以使用七白散。
中医有一个最重要的理论就是以色取色,这几味药均为白色粉末,因而在调理肌肤增白的同时,亦对面部瑕疵可以起到遮掩的作用。被草本滋养的容颜,有着天然去雕饰的美!因此,七白散成为了古今爱美人士的佳选。

2、玉肌散
玉肌散方出自《太医院秘藏膏丸散方剂》,由白芷、滑石、白附子、绿豆粉组成,功能主治一切风湿雀斑、酒刺、白屑风、皮肤作痒者。是古代宫廷美容妙方,不但名字很美,而且美容功效显著。
为什么叫玉肌散?玉是指纯洁透明,滋润光泽,这里用来形容人体面部皮肤面白美丽。玉肌,就是说能够让肌肤冰清玉洁,如玉般光洁。白芷气味芳香,质极滑润,和利血脉,宫中常作为美容药使用,可治皮肤粗涩发黑,外用可使局部血管扩张,改善血液循环,从而促进皮肤色素吸收,同时滋润皮肤。

白附子主面上百病,《日华子本草》讲,面部有黑斑有斑渍可用白附子。滑石是佐药能通毛孔,有时候人的这个脸面看上去不那么光彩,也有毛孔堵塞的原因在里头,毛孔一打开,里面的脏东西随着汗液往外排,它就不会一直堵在那里,毛孔粗大,皮肤粗糙问题就迎刃而解了。滑石这味药它不会很粗暴,它是轻轻的,温柔的把我们的毛孔打开,用一个词来形容叫轻抚皮毛。绿豆是使药,大家一定很好奇,豆子怎么还能用来美容?明代的《本草纲目》就有用黄豆敷面美肤的记载。而绿豆则可以“厚肠胃,润皮肤”,这是从中医的角度来讲,现代研究认为绿豆可以清洁肌肤,能把皮肤表面的污垢吸附掉。

如果您经常风吹日晒,满面尘土,疮疤多的,暗疮多的,雀斑多的,或者有皮肤瘙痒这些问题,都可以用玉肌散使皮肤光洁如玉,面如凝脂。
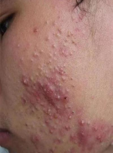
3、颠倒散
颠倒散是治疗痤疮的经典外用方剂,由大黄、硫磺组成,出自清代新安医家吴谦的《医宗金鉴》。方中大黄味苦性寒,有清热解毒的作用;而硫黄味辛性温,杀虫止痒;两药寒热颠倒,故曰颠倒散。
中医学认为,痤疮的发生与肺胃血热、感受外邪风热有关。颠倒散全方具有凉血活血,解毒杀虫之功效,对痤疮有很好的针对治疗效果,当然也适用于酒糟鼻及脂溢性皮炎。

痤疮多发生于中青年,不仅影响患者的美观,且给患者造成了一定的心理负担,颠倒散能够起到溶解角质、抑制皮脂分泌、抗菌消炎、收敛、通透和软化的作用,如果您脸上长了痤疮,除了口服药物外,外治也是相当重要的,清理完粉刺后敷上颠倒散面膜,20分钟后洗掉,皮肤会光光滑滑,清清爽爽。

4、金黄散
在中医的世界里,金黄散是一种古老而神奇的中药制剂。它由天花粉、大黄、黄柏、姜黄、白芷、厚朴、陈皮、冰片、甘草组成,具有清热解毒、消肿止痛的功效,用于热毒瘀滞肌肤所致疮疡肿痛、丹毒流注,肌肤红、肿、热、痛。
徐州市中医院金黄散是在中医外科经典名方如意金黄散基础上加减得来,最早详细记载出于明代陈实功编著的《外科正宗》,“凡外科一切诸般顽恶肿毒,随手用之,无不应效”。

金黄散用途颇为广泛。凭借其多种中药成分的协同作用,能治疗湿疹及一切疮疡肿痛,水火烫伤,毛囊炎,脂溢性皮炎,甲沟炎,哺乳期妇女乳头皴裂,肛周脓肿,外痔等,为我们的健康保驾护航。
5、褚实散
褚实散来源于元代《御药院方》,全方由褚实、土瓜根及商陆组成,外敷具有延年,抗衰、悦泽颜容之作用,临床上主要用于憔悴衰老。
以褚实为例,它是一味常用的抗衰老、养生与美容中药,古代不少本草书籍中有记载。如"主阴瘘水肿,益气,充肌肤,明目"(《名医别录》),此所言充肌肤作用,实际上就包含了对肌肤的充养丽容作用;《本草蒙签·卷之四·木部·褚实》就褚实子在养生与美容方面的作用进行了说明:"充肌肤,助腰膝,益气力,补虚劳。悦颜色轻身,壮筋骨明目……赤者频服,不老不饥,筋力倍增,行及奔马。并载经注,决无欺人。

好啦,今天芳草里的美肤秘籍就介绍到这里,都说清水出芙蓉,天然去雕饰,关注本草、让您的美丽与芳草同行,从内而外回归自然之美。
专家介绍

单霄
主治医师 医学硕士
医疗美容主诊医师,皮肤激光美容组长
擅长各种损美性皮肤病的诊断与治疗:如炎症性皮肤病如痤疮、毛囊炎等;色素增加性皮肤病如黄褐斑、色素痣、各种纹身等;色素减少性皮肤病如白癜风等;血管性皮肤病如血管瘤、红血丝等;皮肤敏感;皮肤老化性病变如脂溢性角化、老年斑、皱纹等;各种疤痕修复;各种皮肤赘生物如疣等。