当前位置: 首页>医疗动态
注意力缺陷多动障碍中西医结合康复治疗技术学习班 注意力缺陷多动障碍()儿童发病率逐年上升,严重危害学龄儿童身心健康和智力发育成长。为更好地推动儿童康...
中医认为,夏季尤其是三伏天,人体阳气最为旺盛,是防治一些慢性疾病的黄金季节,利用这个时节进行穴位贴敷,使一些慢性疾病得到康复痊愈,起到事半功倍的效果,从而达到防...
随着气温一天天升高,很快就要到一年中最炎热的三伏天了。记者在徐州市中医院采访了解到,最近已陆续有不少患者提前来开好三伏穴贴的单子,就等着7月11日入伏当天前来敷...
他是中国医师协会内镜医师分会第四届委员会全国委员,在十多个省市级医学会中担任重要学术任职;他牵头组建疝病专科联盟、微创保胆专科联盟,致力于区域内微创内镜技术协同...
病例介绍 张女士在家务农干活时经常感到心慌、憋闷、不舒服,严重影响了日常生活。以为只是天气热的缘故,谁知到了医院一检查才发现自己竟然是心律失常引起的...
对于大部分肿瘤患者来说,手术仍是首选的治疗方法。而中医认为,手术会损伤人体正气,大伤气血,肿瘤患者在经过手术治疗后,再接受放疗或者化疗,就会使机体免疫机制遭到破...
病例介绍 “晨起照镜子,发现头顶一片发白,少了一块头发。这是咋回事呀?我才40多岁,不会就要掉光了吧?”近日,在徐州市中医院皮肤科毛发病专病门诊,市民...
呼吸科采用中医个体化治疗减轻“新冠后长期综合征”患者症状 咳嗽、失眠、味觉丧失、乏力、认知功能障碍……很多朋友在新冠病毒感染康复后,这些“意料外的症状...
病例介绍 今年17岁的高中生小齐,近段时间每次运动出汗后,四肢、躯干会出现刺痒红斑和风团,有指甲大小,奇痒无比。温度降低后好转,但是非常影响学习和...
执着于心,勤勉于行,是他从医路上的真实写照; 医德高尚,仁心仁术,是患者对他最由衷的称赞; 积极进取,精益求精,是他对医学成就的不懈追求。 ...
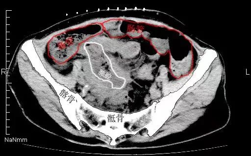
近日,患者王女士因阑尾炎术后一周,持续发热、腹痛难耐,来到徐州市中医院寻求进一步治疗。 中下腹扫描后,影像科严金明主任仔细阅片并了解相关病史后,考虑...
“肛肠疾病对于很多人来说是较为敏感隐秘的话题,许多人常常不能坦然面对,尤其是女性。我作为一名肛肠科的女大夫,能帮助更多患者安心接受治疗,减轻疾病带来的痛苦,提高...
良好睡眠 健康之源 相信很多人都曾经被失眠所困扰,也曾经在吃药和不吃药之间反复纠结:不吃药,睡不着觉太痛苦;吃药,时间长了成瘾戒不掉怎么办?由失眠引...
前列腺早癌诊治再添精准利器 我们常说,医学是有局限性的,但追求科学进步的脚步却永不停歇。近日,徐州市中医院泌尿外科成功解锁新技术——融合成像导航下引...
站久了,小腿酸胀、发麻;腿上爬满弯弯曲曲的“小蚯蚓”……在生活中,下肢静脉曲张很常见,尤其是需要长时间站立的职业群体更是高发。 徐州市中医院治未病科...
月经,是伴随女性半生的“老朋友”,月经是否正常与各种激素水平、排卵等多种因素关联,而“月经病”又是困扰许多女性朋友的“难言之隐”。 从医三十五年,她...
提起帕金森,许多人马上会想到动作缓慢、手脚颤抖的老年人,而实际上,帕金森的发病年龄越来越年轻化。40岁的刘先生(化名)就因动作迟缓、性情大变被家人、同事“嫌弃”...
患了这种“难言之隐”怎么办? 小腿上出现曲曲弯弯的青筋膨出,大家都知道可能是得了静脉曲张,其实静脉曲张还可以发生在身体其他部位。对男性来说,有一种静脉...
怀孕了,尤其是怀了双胞胎,本该是件令人欣喜的事情。但如果“双胞胎异地”,一个在宫内、一个在宫外,那可就十分危险了。 在徐州市中医院妇科门诊,就接诊了...
大家都知道,心脏、腹部可以做超声影像检查。可如果冠状血管堵了,医生如何精准判断血管内部堵塞的部位和程度呢?日前,徐州市中医院心血管科专家擦亮一双“火眼金睛”,利...